4 min read
798 words
For many young adults, the emergence of wisdom teeth is a rite of passage often accompanied by discomfort, pain, and the ubiquitous question: “Do I really need to have them removed?” These third molars, typically appearing between the ages of 17 and 25, are often a source of dental debate. While some people sail through their eruption without a hitch, for others, wisdom teeth can pose a significant threat to their oral health. Understanding when removal is crucial versus when it might be avoidable is key to making an informed decision.
When Is Wisdom Teeth Removal Necessary?

The decision to remove wisdom teeth is rarely arbitrary. Dentists and oral surgeons typically recommend extraction when the teeth present, or are highly likely to present, specific problems that could compromise a patient’s oral health and overall well-being.
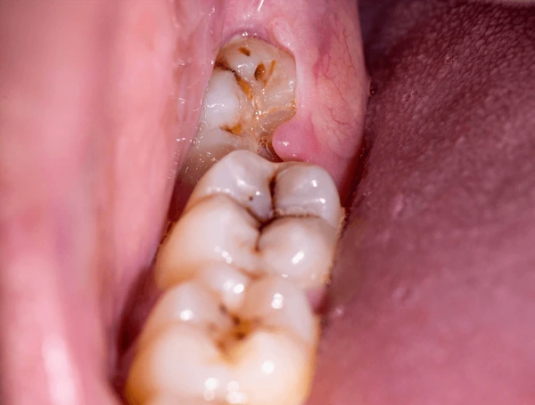
One of the most common reasons for removal is impaction. This occurs when a wisdom tooth doesn’t have enough room to fully erupt or emerges at an awkward angle. It might be partially trapped beneath the gum line, against the adjacent molar, or within the jawbone. Impacted teeth are problematic for several reasons:
- Pain and Discomfort: The pressure from attempting to erupt can cause persistent pain in the jaw, ear, or head.
- Infection (Pericoronitis): When a wisdom tooth is partially erupted, a flap of gum tissue can form over it, trapping food particles and bacteria. This can lead to a painful and often recurring infection called pericoronitis, characterized by swelling, redness, and difficulty opening the mouth.
- Damage to Adjacent Teeth: An impacted wisdom tooth can push against the second molar, potentially leading to decay, bone loss around the second molar, or root resorption (damage to the root surface) of the neighboring tooth.
- Crowding and Orthodontic Issues: While not always directly responsible for front teeth crowding, impacted wisdom teeth can exacerbate existing orthodontic problems or complicate future treatment by adding pressure to the dental arch.
- Cysts and Tumors: In rare cases, a fluid-filled sac (cyst) or a benign tumor can develop around an impacted wisdom tooth. These can damage the jawbone, teeth, and nerves if left untreated.
- Difficulty Cleaning: Even fully erupted wisdom teeth can be challenging to clean due to their location at the very back of the mouth, making them susceptible to cavities and gum disease.
Prophylactic removal, meaning extraction before symptoms arise, is also sometimes recommended, particularly for deeply impacted teeth that are likely to cause problems in the future. This approach aims to prevent potential complications and can lead to a smoother recovery in younger patients.
When Might Removal Not Be Required?
Despite the prevalence of wisdom teeth extractions, not every third molar needs to be removed. In certain circumstances, dentists may advise a “watch and wait” approach or determine that removal is unnecessary.
An ideal scenario where wisdom teeth may be retained is when they are fully erupted, properly aligned, and functional. This means they have come in completely, are not causing any pain or crowding, and can be cleaned effectively as part of a regular oral hygiene routine. If the teeth are straight, contribute to chewing, and do not pose a risk to adjacent teeth or the surrounding bone, there is generally no medical reason for their removal.
Furthermore, asymptomatic impacted wisdom teeth are a subject of ongoing debate in the dental community. Some dentists argue that if an impacted tooth is not causing any pain, infection, or damage, and there’s no evidence of pathology (like a cyst), it might be monitored periodically rather than extracted. However, this approach comes with the caveat that problems can arise unexpectedly, even years later. Regular X-rays and dental check-ups are crucial to monitor these teeth for any changes.
The decision to retain wisdom teeth also involves considering the risks associated with the surgical procedure itself. While generally safe, wisdom teeth extraction carries potential complications, including:
- Dry Socket (Alveolar Osteitis): A painful condition where the blood clot fails to form or dislodges from the extraction site.
- Nerve Damage: Though rare, damage to the trigeminal nerve can cause temporary or, in very rare cases, permanent numbness in the tongue, lip, or chin.
- Infection: Post-operative infection can occur at the surgical site.
- Excessive Bleeding: While controlled by the surgeon, some bleeding is normal and excessive bleeding can occur.
Ultimately, the necessity of wisdom teeth removal is a highly individualized decision. It requires a thorough examination by a dentist or oral surgeon, including X-rays, to assess the position, impaction status, and health of the wisdom teeth and surrounding structures. They will weigh the potential risks of retaining the teeth against the potential risks and benefits of extraction, considering your overall health, age, and specific dental concerns. Don’t hesitate to ask questions and discuss all available options to ensure you make the best choice for your oral health.
